Angela Patmore

Angela Patmore is a journalist and former International Fulbright Scholar. Her book, The Truth About Stress, was shortlisted for the MIND Book of the Year Award

Who cares about the cold old?

From our UK edition

When I was a child, we lived in a two-up, two-down terraced slum in Walthamstow, East London with bombsites at the back. My father made me a doll’s house by dividing a box into four for the rooms. One year when we hadn’t any coal, I watched my doll’s house, disassembled, burning in the living room grate. I couldn’t grumble. I had asthma and for the first couple of years of my life there was no NHS. Just being alive was a bloody miracle. I rather admired the glittering ice patterns on the inside of my bedroom window.  I was cold then, and I am cold now. I had hoped things might improve in the 21st century. My £200 winter fuel payment was eaten up in just over a month by my energy company. I must have been too warm.

Is stress always a problem?

From our UK edition

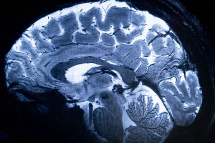
‘Cerebral climaxes’ are those moments when we experience a high, a life-changing realisation, a joyous epiphany. I have studied these brain peaks for many years, and they are associated with crises and extreme emotions. The American psychologist Abraham Maslow called them ‘peak experiences’, but the truth is that we know surprisingly little about how these climaxes come to pass – and, indeed, about how the brain itself works. If other complex systems can do this magic trick, the brain must surely be able to do it too Our ignorance was highlighted recently when Harvard and Google AI experts announced that they had successfully mapped one cubic millimetre of brain tissue (about one millionth of an adult human brain). The imaging and mapping exercise produced 1.

The Poetry Society has betrayed poetry

From our UK edition

Each year poets throughout the land wait breathlessly for the results of the National Poetry Competition and the latest winners’ anthology. We can gauge the state of our national literacy by these pages – which is why this year’s results left some of us spitting feathers. The first two prizes have been awarded not to poetry at all, but to prose, printed in central blocks on the page, evidently under the impression that this makes them something other than prose.  The top gong went to Imogen Wade for The Time I was Mugged in New York City. The second, from Fawzia Muradali Kane, entitled Eric, contains numerous illiteracies. Both read like diary entries, interesting as self-expression or reportage. But poetry?

Test match

From our UK edition

Why do we need tie-breaks and photo finishes? If competitors have been nip-and-tuck all the way, why can’t they just share victory? England supporters who watched the ICC Cricket World Cup final might have been febrile with joy when the extra-time ‘super over’ ended in another tie, giving England the margin on boundaries, but New Zealand’s Black Caps lost by less than a whisker. Why shouldn’t they have halved the triumph? Why shouldn’t Roger Federer, who went toe-to-toe with Novak Djokovic in the longest-ever Wimbledon final, have lifted one side of that famous trophy? The answer is that human beings need resolution. Spectators need to know the thing has been finally settled. Professional sport is a test of nerve; it is not simply a physical contest.

Overdosed

From our UK edition

We have become a nation of sad pill-poppers. The British, once Churchill’s ‘lion-hearted nation’, are now among the most depressed people in the developed world. The UK ranks joint seventh out of 25 countries, with double the rates of Poland, Estonia and the Slovak Republic. According to the Children’s Society, English children are more miserable than those in 13 other countries such as Ethiopia and Algeria — despite the widespread introduction of ‘wellbeing’ lessons. One in six workers in England experiences ‘symptoms’ of mental illness, and around 300,000 people leave their jobs every year because of them. The cost to the economy is put at up to £99 billion. And the lower we plummet, the more antidepressants we take.

Gaslighting the nation

From our UK edition

Arguably the cruellest thing you can do to human beings is to rob them of faith in their own sanity. People can endure physical torment, even torture, so long as their minds are clear. If they feel sane, they can still make sense of what is happening to them and work out how to survive. But if you undermine somebody’s mental stability, they soon unravel. In the words of John Milton’s Satan in Paradise Lost, ‘Which way I fly is hell; myself am hell;/And in the lowest deep a lower deep,/Still threatening to devour me, opens wide.’ Chipping away at a person’s mental health is known as ‘gaslighting’, after Gas Light, the Patrick Hamilton play that in 1944 became a classic Hollywood melodrama.

How ‘stress management’ can make your blood pressure soar

From our UK edition

We seem to be in the grip of a terrible stress epidemic. According to a new study by the Chartered Institute for Personnel and Development, a professional body for managers in human resources, two fifths of all organisations stated that stress-related absence has increased. It even causes terrorism, apparently: the mother of Paris suicide bomber Ibrahim Abdeslam said she believes her son might have blown himself up because of stress. The total number of cases of work-related stress, depression and anxiety in the past year was 440,000, according to the Health and Safety Executive, up from 428,000 cases two years earlier. So extensive is this plague that, in the HSE’s view, stress accounts for no less than a third of all work-related ill-health cases.